【通讯员:李世潘】近日,在我院泌尿外科在“三名工程”专家的助力下成功为一位43岁的患者余女士实施了腹腔镜左侧嗜铬细胞瘤切除术。嗜铬细胞瘤是一种源于肾上腺髓质的罕见神经内分泌肿瘤,肿瘤组织可阵发性或持续性地释放大量儿茶酚胺,就像一颗定时炸弹,这种激素像狂风暴雨一样肆虐,可引发致命性高血压及多器官损害。
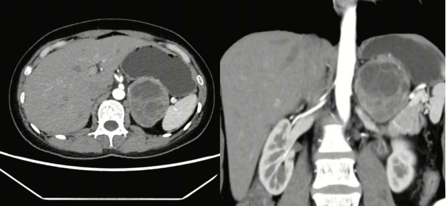
患者余女士,因“体位改变后反复出现心悸、心慌不适3年”于门诊就诊,入院后完善相关检查,考虑为嗜铬细胞瘤,检查发现左侧肾上腺肿瘤大小约68mm×56mm×63mm,手术指征明确。嗜铬细胞瘤术中存在血压剧烈波动可能,为降低术中血压波动,术前给予应用 α 受体阻滞剂2周及扩容治疗,减少最高收缩压或高血压诱发的心脑血管意外的影响。我院泌尿外科肖运政主任克服重重困难,联合“三名工程”团队与我院影像科、麻醉科、内分泌科、心血管内科专家启动多学科诊疗(MDT),制定了“拆弹”方案——腹腔镜左侧嗜铬细胞瘤切除术。

在麻醉科陈林主任和手术室护士团队的全力支持下,梁朝朝教授与肖运政主任以“包膜外渐进式剥离法”避开肿瘤表面血管,逐层分离黏连组织,完整切除肿瘤;在术中患者血压波动,收缩压最高210mmhg,麻醉医生通过酚妥拉明等药物实时调控,精准控压。手术时间仅持续2小时,术中出血仅50毫升以内。术后,余女士的恢复情况非常良好,术后第二天恢复饮食下床活动,余女士感慨道,“这三年像背着‘炸弹’生活,现在终于能正常呼吸了。”

此次手术的成功,得益于“三名工程”团队梁朝朝教授、宋正尧教授与我院泌尿外科肖运政主任医师娴熟的手术技巧和麻醉医生、手术室护士的熟练配合。我们采用腹腔镜左侧嗜铬细胞瘤切除术,将患者肿瘤顺利切除。未来,我科将不断提升医疗技术和服务水平,致力于提供更优质、更专业的诊疗服务,为深圳市民的健康保驾护航。