大众版 员工版 英文版
深圳卫健委:19岁,身高155,“我不敢接女孩电话”
  • 发布时间:2023年08月31日
  • 点击数:2,049

 “给我一个晚上,还你一个奇迹


由《暑假

原班人马倾情打造的

年度巨制史诗级大型搞笑励志纪录片

《开学传奇》

正在上映


图片


各路演出人员各显神通

当他们听到开学的消息

拿出尘封已久的作业

痛苦 激动不已


图片


因为他们的作业

比白纸都干净



 

,时长00:37

 

(请调低音量,误伤其他无关人员,本卫概不负责)


19岁的准大一新生家坪

也是开学大军中的一员

他按捺不住内心的雀跃和忐忑

 

走在大学的校道上

没有人会知道


这个身高153的男孩

为了这一天

曾经历了“九九八十一难”


图片



“这孩子估计活不了”

2岁多父母才给他上户口




时间回到19年前,广西百色。

 

家坪出生后不久,父母怀疑他得了“怪病”,因为他看起来“不正常”——

 

身体歪歪扭扭,不对称。

 

父母担心他活不下来,就没给他上户口。

 

直到2岁生日过后,家坪才真正拥有姓名。

 

从小,他就和别人不同:

 

背上鼓出个“驼峰”,个头比同龄人矮小许多。

图片


上学后,家坪一坐下,课桌上只露出一颗头,走起路来,弓腰驼背,一步一瘸。

 

为此,他沉默寡言、害怕社交,担心别人异样的眼光。


“我有过轻生的念头,感觉生活在黑暗里……”

 

好在,他遇到了鼓励他的数学老师,老师的话成了照亮家坪黑暗世界的一道光。

 

他开始默默努力,给自己打气。

 

在40多人的班级里,他从“小透明”一跃成为“尖子生”。


图片




高三先后7次呕血




当家坪如愿以偿考上了当地较好的中学后,他的健康状况却每况愈下。

 

由于经常请病假,成绩也渐渐跟不上,中考只考上县里的职高。

 

可曾经拿过第一的人,又怎会甘心放弃?


“好好学3年,还可以参加高考。”

 

图片


高二时,他的身体已经无法支撑他顺利完成学业——

 

站着躺着腰酸背疼,一走路就心慌气短。

 

18岁的他,身高仅131cm,体重32kg(和正常的9岁男孩差不多)


图片


更糟糕的是,高三时,他先后7次呕血,多次住院,错过了进入普通高考班的机会,最终只能参加职教高考。

 

去年3月,他上网查了才知道,像他这种情况,多数只能面临瘫痪或等死的结局。

 

难道只能这样?


去年9月,事情出现一线转机。

 

当再次因呕血住进医院后,家坪碰到了一位从深圳来的“贵人”:王庆贺,南方科技大学医院的脊柱外科医生。


图片



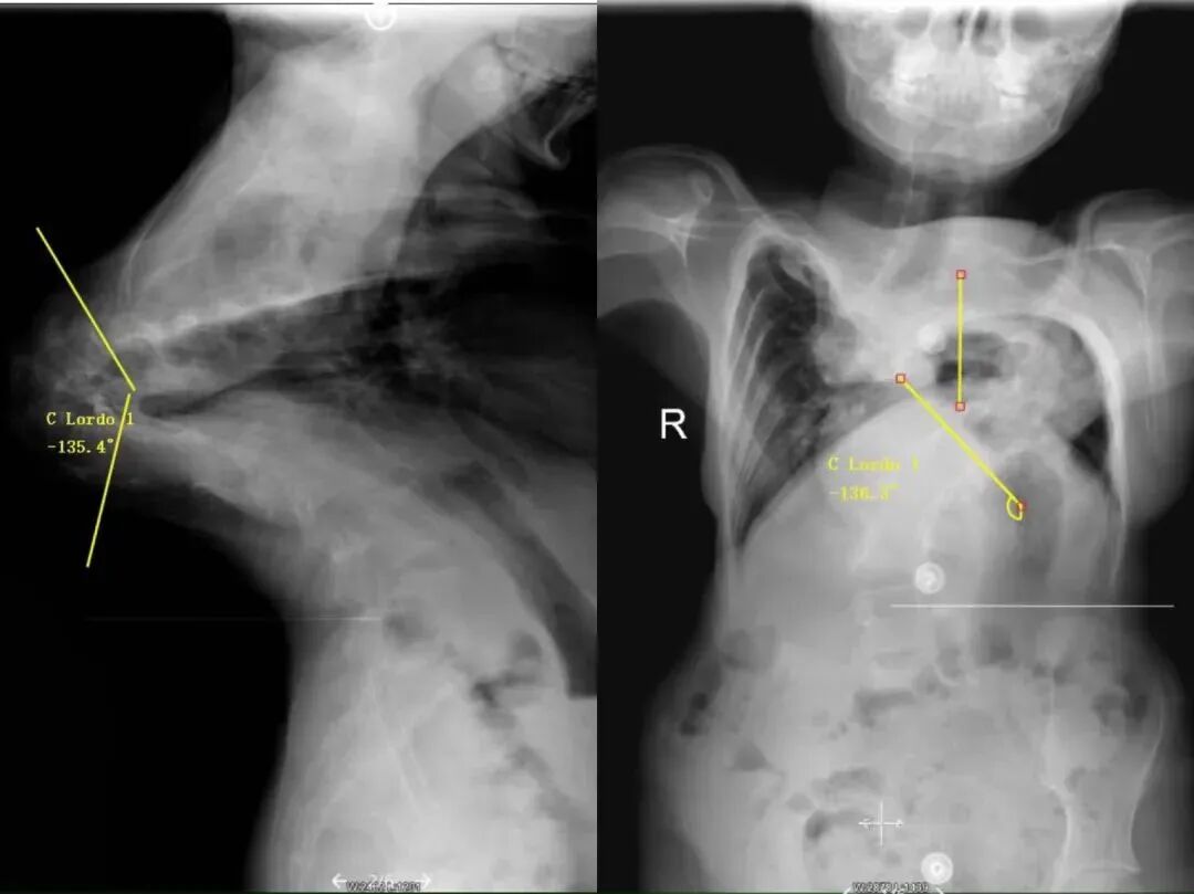
 纠缠家坪多年的“怪病”也终于现形:


重度先天性侧凸和后凸脊柱畸形


  • 侧凸角度 135 度

  • 后凸角度 138 度

  • 一半以上的胸椎椎体有超过90度的严重旋转


正常的脊柱长这样

👇

图片


家坪的脊柱长这样

👇

图片




医生:脊柱扭成了麻花

要救他,得赶紧手术




家坪的脊柱,已经拧成了几乎对折的麻花!

 

因为脊柱变形,他的胸腔和腹腔的容积跟着减小,心肺、胃肠等内脏受到严重压迫。


图片


这也可能是家坪多次呕血的“元凶”。

 

如果放任不管,不仅不能正常饮食,还可能出现消化道出血等严重并发症,甚至危及生命。

 

要救他,就得赶紧手术。


为了找到最适合他的治疗方案,王庆贺请来了“外援”:南方科技大学医院副院长、脊柱外科主任王林。


然而,这个手术可不是说做就能做——


  • 万一损伤脊神经,可能瘫痪

  • 如果肺功能弱,手术难坚持


要不要做手术?如果不做,这个孩子将会有生命危险;


做什么样的手术?只有彻底矫正一条路可选。


但是,彻底矫正也就意味着手术时间长、创伤大、风险高;意味着从建立输液通道到手术体位摆放,从保证充分植骨到预防术后感染等等每一个细节都必须兼顾。


—— 王林


这简直是,要在钢丝上跳舞。

 

图片


考虑到家坪的病情以及当地有限的医疗条件,王林提出“两步走”的办法:

 

“头盆环牵引+手术矫正”。



01

戴着“脚手架”去高考


第一步,“头盆环牵引”。

 

简单说,就是把头“立”住,利用上拉的力度一点一点拽。医生会在他的头骨上固定好头环,然后把头环固定在支架上。

 

这可以让家坪原本被压缩的、畸形的胸腔打开,使原本被压迫、无法正常发挥的心肺功能得到锻炼,增强对手术的耐受能力。

 

南方科技大学医院专门派了重建骨科主任陈建文前往广西为家坪装“脚手架”。


图片


在这之后的几个月,家坪无法自由转动头颈,睡觉也只能平躺不能翻身。

 

然而奇迹出现了:


从开始牵引之后,他再也没有呕血。

 

牵引治疗期间,他还戴着支架,坐车去参加了高考。

 

5月份,他被广西一所大专职业院校录取。


图片


经过4个月的牵引治疗,家坪的脊柱肉眼可见在变好:


  • 后凸角度从138度减少到 70

  • 侧凸角度从135度减少到 51

  • 身高也从131cm上升到 153cm



02

截骨重建,体内植入几十枚钉子


第二步,手术矫正,这才是真正的考验。


经过1个多月的前期准备,8月9日,家坪被推进了手术室。

 

手术中,医生要把严重弯曲的脊椎截骨矫形后,在13节椎骨的范围内置入几十枚钛钉,再将截骨骨粒植入到脊椎之间,让它们融合生长。

 

图片

图源:见水印


由于家坪脊柱畸形严重,且伴有重度限制性通气功能障碍、脊髓纵裂等,这台手术开展起来并不容易。

 

图片


在麻醉师,神经监测、输血、ICU等十几个科室医护的全力配合下,近20个小时后,家坪被推出手术室。




最想学车

“以前太矮,看不到窗外’”




从广西百色到深圳南山,近1000公里。

 

从131cm到155cm(身高),24厘米。

 

图片


这一路,家坪走了19年。

 

手术后,他能挺直走路了,姿势也好看了。


家坪和他的家人,很感谢深圳医生为他做的一切。


图片

2022年5月,根据国家“组团式”帮扶国家乡村振兴重点县的要求, 南方科技大学医院承担对广西百色市凌云县人民医院的帮扶工作。


目前,南方科技大学医院已先后选派了两批十人次专家开展帮扶工作,在医疗服务中开展新技术/新项目37项,开设专科门诊接诊患者近500余人次。


以前的他,有梦想但眼神黯淡,在碰壁太多次之后,对未来总是小心翼翼。

 

在深圳住院,有女孩打视频电话过来,家坪却不想接,“我不想让她看到我现在的样子。”

 

而现在的他,眼里有光,也有能触摸到的愿望:

 

去看海、考驾照、“专升本”。

 

图片


“以前太矮,坐驾驶位都看不到外面,我想大二去考个驾照,去看看外面的世界。”


未来很长,来日可期。


图片



微信改版了

现在刷到我们的 摸鱼 科普贴全凭缘分

大家记得把小卫“星标3连”


图片



深圳卫健委

最靠谱的科普,最有趣的灵魂。

12篇原创内容

公众号





-End-

「喜欢就点赞」






本期封面:

图片


信息来源:南方科技大学医院

图片


了解这些有可能对您有所帮助